Our Services
Expert orthopedic care tailored to your needs in Raipur.


Joint Replacement Surgery
Advanced techniques for hip and knee replacements.
Complex Trauma Care
Specialized treatment for severe fractures and injuries.
Pediatric Orthopedics
Expert care for children's bone and joint conditions.
Orthopaedic Surgery FAQs
What is orthopaedic surgery?
Orthopaedic surgery focuses on diagnosing and treating musculoskeletal system disorders.
What conditions do you treat?
How can I prepare?
What is joint replacement surgery?
Are there any risks involved?
Preparing involves discussing your medical history and following pre-operative instructions for optimal outcomes.
As with any surgery, there are risks such as infection, blood clots, and complications.
I treat complex trauma, joint replacements, and paediatric orthopaedic conditions.
Joint replacement surgery involves replacing damaged joints with artificial implants to relieve pain and restore function.
Our Projects
Explore our successful medical interventions and outcomes.
Joint Replacement
Expert care for joint-related issues.
Pediatric Orthopaedic Care
Specialized treatment for children's orthopedic conditions.


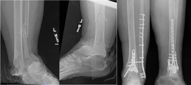
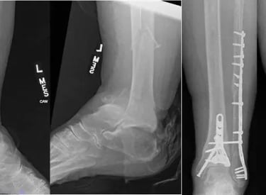
Complex Trauma
Advanced solutions for traumatic injuries.
Foot & Ankle
Comprehensive care for foot and ankle disorders.
